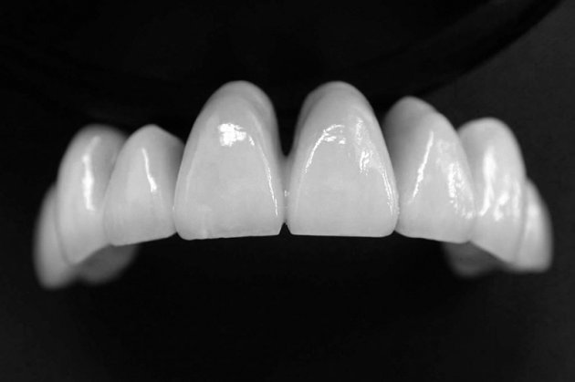
Khi nào cần phủ răng sứ không cần mài?
Em bị mất một chiếc răng hàm do bị sâu nặng nên bây giờ em muốn đi làm cầu răng sứ. Thực ra, em muốn làm implant vì nó bền nhưng em không đủ chi phí. Bác sỹ tư vấn giúp chụp răng sứ giá bao nhiêu ạ? Cảm ơn bác sỹ!
Khi nào cần phủ răng sứ không cần mài?
Thông thường, phủ răng sứ không cần mài giá bao nhiêu được áp dụng khi men răng không đẹp, tỉ lệ răng không phù hợp nhưng vị trí răng phải đúng, không bị lệch lạc. Nhưng với sự cải tiến của ngành nha khoa hiện nay, niềng răng phải đeo hàm duy trì bao lâu phủ răng sứ còn có thể áp dụng hiệu quả khi:
- Răng bị sâu, ố vàng.
- Răng bị nhiễm màu kháng sinh, thiếu sản men răng mà các phương pháp tẩy trắng răng không mang lại hiệu quả.
- Răng thưa, hở kẽ, răng bị mẻ, vỡ nhỏ.
- Răng mọc lệch lạc, kích thước răng không đều nhau, hoặc các trường hợp muốn hàm răng đạt tính thẩm mỹ cao nhất.
Cách vệ sinh răng miệng sau khi tiến hành bọc răng sứ
Răng có chức năng thẩm mỹ trên khuôn mặt bạn khá lớn, chính vì thế cần phải bảo vệ một hàm răng khỏe mạnh đây cũng chính là quy trình quan trọng trong cách chăm sóc răng chuẩn sau khi bọc răng sứ thẩm mỹ.
Răng phải tiếp xúc với thực phẩm ăn uống hàng ngày là điều gần như không thể tránh khỏi. Răng tiếp xúc với thức ăn càng lâu, thì tốc độ mài mòn răng càng lớn, cho nên bạn cần phải kiểm soát thời gian răng tiếp xúc với thực phẩm ở mức tối thiểu.
Tránh ăn vặt nhiều lần trong ngày, và đánh răng sau ăn 30 phút, chỉ cần thực hiện cách chải đúng, đủ số lần và thời gian trong một lần chả theo quy định của nha khoa, dùng chỉ nha khoa vệ sinh răng miệng.
Với những trường hợp bọc răng sứ thẩm mỹ thì bạn nên có chế độ bảo trì răng định kỳ, tái khám để bác sĩ xem xét tình trạng răng của bạn, để phát hiện sớm những dấu hiệu bất thường của răng nhằm khắc phục và sửa chữa kịp thời, đấy chính là cách để bạn bảo vệ răng miệng tận tâm.
Thông tin liên hệ: Trung tâm nha khoa Đăng Lưu
Địa chỉ:
Cơ sở 1: 34 Phan Đăng Lưu, P.6, Q.Bình Thạnh –(+84 8) 6297 7148
Cơ sở 2: 540 Trần Hưng Đạo, P.2, Q.5 –(+84 8) 6682 0346
Hotline: (+84 8) 66820346
Reviewed by trám răng tư vấn
on
05 tháng 3
Rating:


